Эффективная работа каждый день
Ультразвуковая система Philips Affiniti 50
для применения в области женского здоровья
В ультразвуковой системе Philips Affiniti 50 были реализованы инновационные решения, которые отвечают потребностям кабинетов ультразвуковой диагностики, работающих с большой нагрузкой, чтобы помочь вам оставаться на самом передовом уровне.
Сбалансированная работа
Вы всегда нацелены на то, чтобы предоставить
своим пациентам медицинскую помощь самого
высокого качества. В то же время, от вас требуется
экономить время и ресурсы и принимать все больше
пациентов.
Чтобы удовлетворить всем этим требованиям,
вам необходимо получать диагностическую
информацию быстро, но не в ущерб качеству.
Вам нужны специализированные функции,
но без усложнения работы с системой.
Вам нужна эргономичная система,
но при этом она должна выдерживать
ежедневную нагрузку при работе с большим
потоком пациентов.
Ультразвуковая система Philips Affiniti 50
поможет вам достичь такого баланса.
Она обеспечивает превосходное
качество изображений и предоставляет
специализированные диагностические
инструменты, которые можно применять почти
при любом гестационном возрасте и при любой
сложности гинекологических исследований –
при этом система готова к работе практически
сразу после поставки.
Эффективная и надежная система, созданная
на основе высокопроизводительных технологий
Philips, способна быстро предоставить вам
необходимые диагностические изображения.
Продуманный дизайн и исключительная простота
использования помогут обеспечить эффективную
диагностику в ежедневной практике.
В ультразвуковой системе Philips Affiniti 50 были реализованы инновационные решения, которые отвечают потребностям кабинетов ультразвуковой диагностики, работающих с большой нагрузкой, чтобы помочь вам оставаться на самом передовом уровне.
Система Affiniti 50 отличается технологией
точного формирования луча, тканеспецифичными
предварительными настройками и функциями
повышения эффективности и автоматизации
работы, которые обеспечивают высокую
производительность и надежную работу.
Невероятно эффективный
рабочий процесс
С системой Affiniti 50 рабочий процесс становится невероятно эффективным. Она включает в себя
инновационные разработки Philips, которые привлекают тех, кому требуется, с одной стороны,
высокое качество изображений и надежные клинические приложения, а с другой, возможность
быстрого сканирования и получения результатов исследования даже в сложных случаях.
Благодаря четкому формированию луча
и широкому динамическому диапазону
система помогает обеспечить превосходное
пространственное и контрастное разрешение
и высокую однородность отображения тканей,
а также снизить уровень артефактов и шума
на изображении. С помощью тканеспецифичных
предварительных настроек можно отрегулировать
более 7500 параметров, что позволяет
оптимизировать работу датчика в зависимости
от конкретного типа исследования и получить
изображения отличного качества практически
без дополнительной обработки. В этой системе
превосходное качество изображений сочетается
с расширенными клиническими функциями.
Q-App – приложения для количественного анализа
Система Affiniti 50 оснащена передовыми программными модулями Q-Apps для количественного анализа ультразвуковых изображений.
-
GI 3DQ -Модуль количественного анализа
для общих 3D-исследований.
- ROI - Модуль количественного анализа
исследуемой области.
Оценка жесткости тканей матки
Для оценки относительной жесткости тканей можно использовать высокочувствительный режим компрессионной эластографии. Благодаря тому, что он не требует
приложения внешней нагрузки, повышается уровень стандартизации исследований
и воспроизводимости результатов.
Экономия времени с помощью
средств автоматизации
Philips Affiniti 50 – автоматизированная
ультразвуковая система, оснащенная функциями автоматизации, которые повышают
эффективность процедур,
снижают количество повторяющихся действий, упрощают и унифицируют работу пользователей.
Real-time iSCAN (AutoSCAN)
Обеспечивает превосходное качество
изображений в 2D-, 3D- и 4D-режимах
за счет автоматической и непрерывной
оптимизации усиления и (TGC).
Рабочий процесс на основе
технологии SmartExam
Приложение для управления рабочим
процессом SmartExam повышает согласованность исследований, сокращает количество нажатий на
клавиши и уменьшает время исследования на 30–50% за счет
автоматического планирования и обработки протоколов приложений.
Эффективное сканирование плода
Возможность создания протоколов сканирования для всех триместров, а также
для специализированных исследований,
например для оценки риска трисомии
13-й и 21-й пар хромосом.
Превосходные характеристики 3D-режима визуализации позволяют получить информацию, необходимую для диагностики патологий.
Система оснащена широкополосными датчиками C6-2, C9-4v,
C10-4ec, L12-5, L12-4, S8-3, V6-2 и 3D9-3v для всех типов
акушерских и гинекологических исследований.
Превосходные характеристики 3D-режима визуализации
позволяют получить информацию, необходимую для
диагностики патологий
Демонстрация рабочих характеристик
Доплерограмма венозного протока
Живот плода
Позвоночник плода
Почки плода
Средняя мозговая артерия
Яичник, 3D-режим
Позвоночник плода, 3D-режим
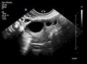
Матка (по длинной оси)
Живот плода
Стопа плода, 3D-режим
Яичник (по длинной оси)
Акушерские исследования на ранних сроках, 3D-режим
Благодаря эргономичной конструкции
и исключительной простоте в использовании
системы Affiniti 50 персоналу потребуется
минимум времени для обучения.
Сочетание комфорта и возможностей
Для того чтобы система Affiniti 50 соответствовала задачам ежедневной практики, при ее
разработке был учтен опыт клиентов Philips. Мы хорошо понимаем проблемы, связанные с ограниченностью пространства, большим потоком пациентов, временными ограничениями
и сканированием сложных пациентов. Поэтому при создании системы мы продумали каждую
ее деталь, стремясь помочь вам снизить нагрузку. В системе Philips Affiniti 50 комфорт сочетается с широкими возможностями, при этом система проста в освоении и работе.
Исключительная простота использования
Благодаря интуитивно понятному интерфейсу и продуманной архитектуре пользователям, которые уже имеют опыт проведения ультразвуковых исследований, для
начала работы требуется лишь минимальное обучение.
Оценка жесткости тканей матки
Компактное расположение органов управления системы Affiniti 50 легко запоминается, что существенно
упрощает работу. Эта система обеспечивает комфортные условия сканирования в течение всего рабочего дня.

Вы можете не обратить на это внимания,
однако пользователи отмечают удобство
нашего приспособления для крепления кабелей,
которое позволяет избежать их спутывания
и повреждения и создает более комфортные
условия для работы.
Благодаря размещению функций копирования изображений
и TGC на сенсорном экране системы Affiniti 50 снижается
количество перемещений рук оператора и нажатий кнопок.
Удобный интерфейс системы Affiniti 50 и низкий уровень шума помогают
создать комфортные условия для пациента.
Поскольку 80% специалистов по ультразвуковой
диагностике испытывают боли, связанные с профессией, а 20% вынуждены из-за этого оставить работу.
Мы разработали сенсорный экранный интерфейс
планшетного типа, который уменьшает количество
движений и нажатий на клавиши.
Сенсорный экран является одним из самых больших в
своем классе, поэтому теперь так легко выбирать необходимые настройки и контролировать сканирование,
одновременно концентрируясь на Ваших пациентах.
Панель управления и большой монитор на шарнирной
опоре с диагональю 54,6 см (21,5 дюйма) обеспечивают комфортное сканирование как сидя, так и стоя.
Система Affiniti 50 весит всего 84,1 кг. Это очень лёгкая
истема, она на 16% легче своего предшественника. Благодаря небольшой площади занимаемой поверхности и
складывающемуся монитору систему легко транспортировать и размещать в ограниченных пространствах.
Исключительная простота использования
Постоянная готовность к работе
Для экономии времени при проведении мобильных
исследований систему можно перевести в спящий режим
за две секунды, перевезти в нужное место и снова запустить за несколько секунд. Полный набор возможностей
DICOM и ПК обеспечивает простую передачу информации после завершения исследования. Производительность увеличивают средства генерации
отчетов, позволяющие передавать измерения, изображения и отчеты по сети и беспроводной сети, а также легко
отправлять их на принтеры, что помогает Вам в документировании исследований.
Удобный интерфейс системы Affiniti 50 и низкий уровень шума помогают
создать комфортные условия для пациента.